The device could be a boon for millions with vision loss from advancing age
Sara Hashemi - Daily Correspondent
October 20, 2025
Today, in the New England Journal of Medicine, researchers announced that they restored some vision to elderly patients with a common eye disease, thanks to an electronic retinal implant.
Age-related macular degeneration (AMD) is a common but untreatable eye condition that usually impacts people over 50. The progressive disease happens when aging causes damage to the photoreceptors in the central part of the retina. The international trial’s results offer hope of treatment for the condition, which affects about 200 million people globally.
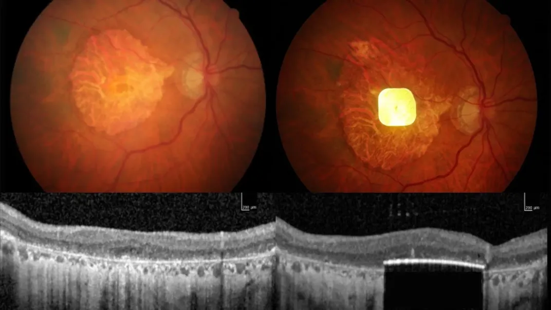
The study involved 38 participants with an average age of about 79 who all had advanced AMD. The participants were treated at 17 sites in five countries across Europe, where they received a tiny implant—about half the thickness of human hair—beneath their retinas. Eighty percent of the participants had “clinically meaningful improvement” to their vision a year after implantation.
Did you know? Rising macular degeneration risk
Your chance of experiencing age-related macular degeneration rises as you age. According to the Centers for Disease Control and Prevention, just 2 percent of 40-to-44-year-olds have the condition, but 42 percent of patients in their late eighties and 60 percent of those in their late nineties are affected.
“In the history of artificial vision, this represents a new era,” says Mahi Muqit, an ophthalmologist at the University College London’s Institute of Ophthalmology who led the United Kingdom portion of the trial, in a statement.
There are two main kinds of AMD: wet and dry. Dry AMD is more common, though it can eventually progress to wet AMD. This study only included participants with dry AMD. Because people with dry AMD still retain some of their photoreceptors, the team of researchers thought a light-sensitive implant could convert image information into electrochemical signals that can be sent to the brain.
The participants then received augmented reality glasses with a camera linked to a small computer worn at the waist. The glasses capture images and project them as infrared light onto the implant. Artificial intelligence algorithms in the computer turn that data into electrical signals that the brain interprets as images. The participants also received months of training to learn how to interpret these signals and regain their reading ability.
Participants received tiny eye implants and state-of-the-art eyeglasses.
Science Corporation
“This is at the forefront of science,” says Demetrios Vavvas, the director of the retina service at Massachusetts Eye and Ear, to Gina Kolata at the New York Times. Vavvas, who was not involved in the study, tells the outlet that the device is the dawn of a new technology that will advance.
Still, there are limitations to the work. A retinal-degeneration researcher working on treatments for vision loss who spoke to Liam Drew at Nature on condition of anonymity says that the intensive visual training the participants received—and the motivation generated by receiving an exciting new medical device—might have led to improved test results. “The results would have been more robust if gains had been demonstrated relative to a randomized placebo group that had received the glasses and training protocols but no implant,” they told the outlet.
The study’s authors also acknowledge that there’s room for improvement in future studies. “I don’t think we'll ever be able to restore full 20/20 vision with the implant alone, but we are investigating tricks that could further improve people’s quality of life and take them above the threshold for legal blindness,” says José-Alain Sahel, an ophthalmologist at the University of Pittsburgh who co-led the trial, in a statement. “One of the main requests we hear from patients is to be able to recognize faces and emotions again, and that’s something we’re working toward.”
The patients’ improved vision was in black and white, so another goal is to “add the software that will help resolve gray scales and enhance them for face recognition,” says Daniel Palanker, a ophthalmologist and electrical engineer at Stanford University who co-led the research, to Chris Simms at New Scientist.
Palanker also wants to improve the device’s resolution. So far, reports the New York Times, preliminary tests in rats have been successful.
.png)


