This update has also been posted on the Brain Preservation Foundation’s website
The potential of preserving people for possible future revival depends on maintaining the neural structures that encode memories, personality, and other aspects of personal identity. Ensuring preservation procedures actually achieve this requires rigorous assessment standards to verify that critical brain structures remain intact. Historically, there have been no standardized quality metrics or independent third-party evaluation of preservation providers, making it difficult for patients to assess different procedures or for the field to demonstrate scientific legitimacy. To address this, the Brain Preservation Foundation intends to establish quality standards and an accreditation program to fill this gap, providing independent assessment of preservation providers to improve technical rigor, encourage best practices, and help transition high-quality brain preservation from laboratory research into credible clinical practice.
By preserving the brains and bodies of dying people, we may be able to provide them a chance of eventual revival as medical technology advances over the coming decades or centuries. The foundational premise of brain preservation for life extension is that by preventing someone’s brain from decaying - by stabilising the neural structures that underlie someone’s memories, personality, and other psychological properties - the potential remains for this person to one day be revived. As in cases of deep anaesthesia or induced hypothermia, where patients undergo complete (but reversible) cessation of brain activity, so too may individuals be able to survive indefinite periods of stasis, so long as their brains are preserved sufficiently well.
The viability of this approach fundamentally depends on preserving the personal-identity-defining information content that underlies who someone is. Current neuroscientific consensus holds that information in human brains retained for anything longer than short durations is primarily stored in the pattern of synaptic connections between neurons. More specifically, the constancy of memories and personality depend on maintaining specific connection strengths between neurons, which in turn rely on neurophysiological properties such as receptor types and densities, axonal myelination, perineuronal net modifications, and other molecular and structural features.
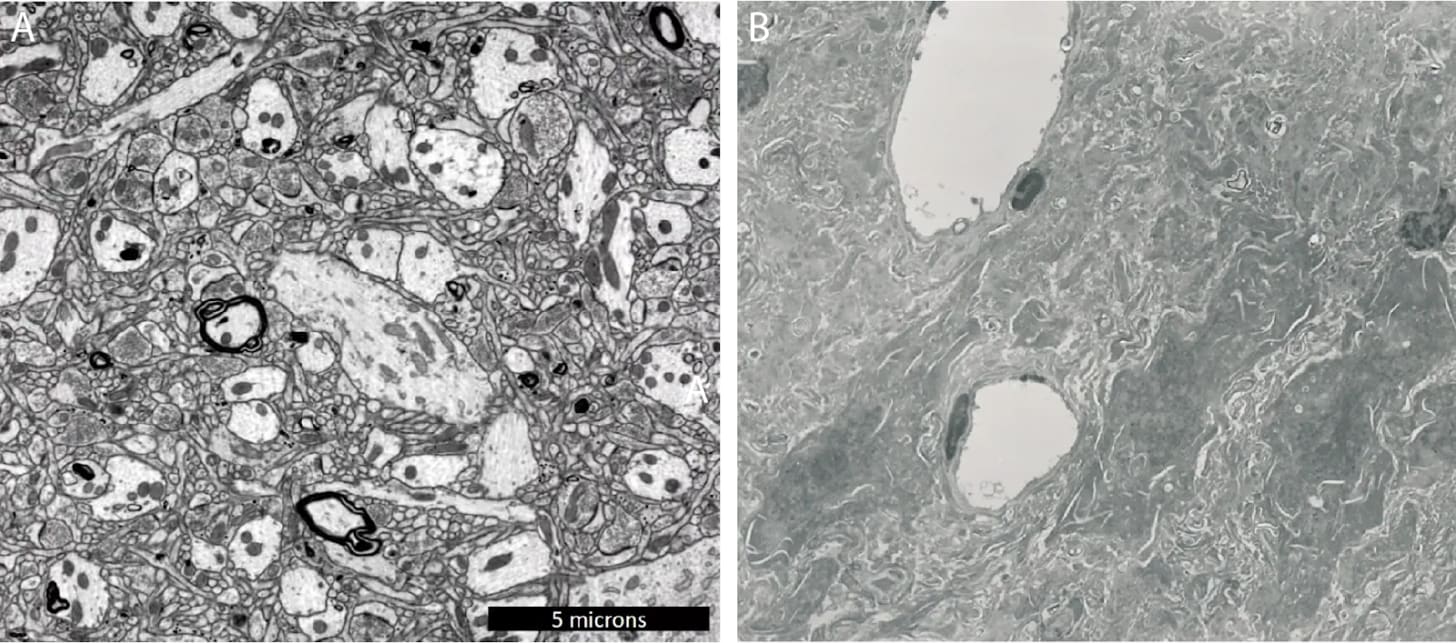
Building on this scientific foundation, in 2010 the Brain Preservation Foundation established a prize for the first team to rigorously demonstrate a technique capable of preserving an entire brain for long-term storage with such fidelity that “the structure of every neuronal process and every synaptic connection remains intact and traceable using today's electron microscopic imaging techniques.” While additional factors beyond traceability - such as specific receptor types, intrinsic neuronal plasticity, and molecular phosphorylation states - may also prove important for complete information retention, ensuring comprehensive traceability of neuronal processes and synaptic connections provides an evidence-based minimum standard for preservation quality assessment. The prize was eventually won in 2018 with the development of aldehyde-stabilized cryopreservation (ASC), with rigorous assessment showing that it could meet this concrete benchmark for preservation quality.

In contrast, historical attempts to preserve patients for future revival have not met this minimum standard. Traditional cryopreservation techniques used on human patients have resulted in severe dehydration, causing brain shrinkage of 30-50%. Animal experiments demonstrate that brain tissue preserved using these methods appears highly compressed and structurally abnormal when viewed using powerful microscopes, such as electron microscopy. While it remains theoretically conceivable that such shrinkage might occur while preserving synaptic connectivity information, it is equally plausible that this contraction masks osmotic and ischemic damage, or other information-destroying alterations (e.g. torn axons or displaced neural processes).
This unclear preservation quality presents a barrier for terminally ill patients seeking preservation options. Without reliable quality assessment, patients cannot easily distinguish the probability with which different procedures offer some guarantee of preservation of their neural information. Moreover, the lack of standardized quality metrics makes it difficult for researchers and providers to improve their techniques, or for the broader scientific and medical communities to evaluate the field's legitimacy.
This is unfortunate, as recent advances in preservation technology - particularly the development of ASC - have demonstrated that high-quality whole-brain preservation is technically achievable. Now is the time for translating these laboratory breakthroughs into clinical practice. However, doing so requires robust quality standards and oversight mechanisms to ensure consistent application and continuous improvement by preservation providers.
The Brain Preservation Foundation's mission is to promote validated scientific research and technical services development in the field of whole brain preservation and to advocate for guidelines, policies, and strategies that will increase the quality of brain preservation choice. By developing comprehensive quality standards and an accreditation program, we hope to enable high-quality preservation to now move beyond the laboratory and into clinical practice.
These standards and accreditation processes are meant to be generic across all potential preservation protocols, whether they are fixative, cryopreservative, or as-yet undiscovered methods.
These standards will almost certainly evolve over time, as preservation methods and readouts develop further and the basis of neurophysiological information storage becomes better understood.
These standards are designed with the assumption that a patient’s brain was structurally intact and had suffered minimal damage or decay prior to the commencement of the preservation procedure. This assumption may often be violated in actual clinical settings, such as with patients who undergo prolonged agonal phases involving hypoxia and hypoperfusion, or who suffer from advanced dementia.
Macroscopic
Structural integrity: The brain must retain its overall anatomical structure with no gross fragmentation or tissue loss.
Uniform preservation: All brain regions must show consistent preservation quality with no areas of obvious deterioration.
Microscopic
Neuronal process traceability: Individual neural processes (i.e. axons, dendrites) must be continuously traceable without breaks or discontinuities.
Membrane structure integrity: Cell membranes, including synaptic membranes, must maintain their structural organization and be clearly distinguishable.
Synapse identification & characterization: Synapses should be clearly identifiable, and structural features known to be correlated with electrophysiological coupling strength (e.g. spine volume, postsynaptic density area) should be clearly visible.
Phase 1: Protocol Submission and Review
Preservation providers submit a comprehensive protocol for BPF evaluation. This submission must include:
Detailed preservation procedures and techniques.
Critical steps and their plausible failure modes.
Quality assessment methods to be used for each case.
Non-destructive evaluation steps that will verify preservation quality.
Documentation of equipment, training, and facility requirements.
Phase 2: Validation Testing
Following protocol approval, providers must demonstrate their technique's effectiveness through controlled testing using either:
Animal models (typically large mammals such as pigs), or
Human research donations where donors have specifically consented to destructive full-brain dissection for evaluation purposes.
This validation phase aims to prove that the non-destructive evaluation methods proposed in the protocol are sufficient to reliably assess preservation quality. Providers must demonstrate consistent results across multiple test cases before being accredited.
Phase 3: Patient Brain Preservation Monitoring
Only after successful completion of validation testing may providers offer preservation procedures to human patients. All accredited human cases must be:
Pre-registered with the BPF prior to the procedure.
Note: this does not necessarily preclude a provider from performing preservations that are not pre-registered, such as in emergency cases.
Conducted according to the approved protocol.
Documented with complete quality evaluation results, including
At least one non-destructive method to assess perfusion quality of the brain with preservative chemicals, such as
CT perfusion monitoring demonstrating perfusion of all brain regions with preservative chemicals.
a) Transverse CT image of a healthy human brain during contrast administration. b) Time-concentration curves. c) Cerebral blood flow measured by CT perfusion during following contrast administration. Images modified from Hoeffner et al., 2004.
X-ray Angiography
Perfusion MRI
Imaging methods which directly demonstrate chemical fixation or CPA equilibration of tissues
At least one minimally-invasive method to assess brain ultrastructure, such as a limited number of small punch biopsies analysed with
Electron microscopy
Expansion Microscopy
Ongoing Oversight and Transparency
Each pre-registered, anonymised case will be listed on a dedicated BPF website and followed through to completion. All quality evaluations and outcomes will be posted publicly, ensuring transparency and enabling continuous improvement of preservation techniques. This public registry will allow patients, families, and the broader scientific community to assess provider performance and make informed decisions about preservation options.
Should the evaluation of a pre-registered case show that it failed to meet the standards, the BPF will publicly document the specific deficiencies, and potentially either: 1) require successful completion of additional validation testing before any future human cases can be pre-registered, or; 2) revoke the provider's accreditation status.
Note that while we seek to provide an accreditation service, it is important to understand that the BPF will not have any legal or regulatory means to regulate preservation providers directly. While we hope that providers will engage with our accreditation process and seek to self-adhere to our standards, we have no authority to compel them to do so, nor to prevent them from withdrawing at a later time should they initially engage.
We also note that this accreditation process will be set up in a revenue-neutral manner, to ensure the BPF never has a financial incentive to accredit providers or validate particular protocols or cases.
We hope that the development of rigorous preservation quality standards and accreditation will represent a pivotal moment for the field of brain preservation. If preservation providers are provided clear benchmarks, they will be better positioned to offer procedures that meet neuroscientific criteria for information retention. In contrast, without these frameworks, promising research achievements like ASC risk remaining confined to laboratory settings, while patients will continue to receive preservation procedures of unverified quality. Additionally, establishing standards demonstrates the field's commitment to empirical rigor and evidence-based practice.
Every year, hundreds of thousands of terminally ill individuals face the end of their lives with no viable medical options for survival. Many of these individuals still have a strong will-to-live, and presumably would be glad to receive more time if only an option were available. For these patients, high-quality brain preservation currently provides their only chance of living longer.
We invite preservation providers who are committed to meeting rigorous scientific standards to engage with this accreditation process. Similarly, we welcome researchers, clinicians, bioethicists, funders and policymakers who recognize the importance of establishing proper oversight for this emerging field to join us. For those interested in supporting this work - whether through funding or technical expertise - we welcome your input. Please reach out to us at: [email protected]
.png)

